Could This Birth Control Shot Increase Your Risk for Brain Tumor?
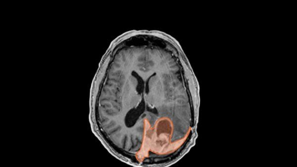
UCSF radiation oncologist David Raleigh, MD, PhD, studies the link between brain tumors and injectable birth control.

University of California San Francisco
UCSF radiation oncologist David Raleigh, MD, PhD, studies the link between brain tumors and injectable birth control.
About 1 in 5 people with high blood pressure or hypertension have a form of the condition that is resistant to medication. These patients may have tried lifestyle changes or multiple medications at
Seven UCSF investigators are receiving the prestigious award for their research from the National Institutes of Health.
New research shows that the surrounding cells and tissues of the ovary play a crucial role in how eggs mature and how quickly fertility wanes.
UCSF’s Physical Therapy department debuts a new Women’s Health Residency Program this fall, which will include training on women’s bodies during and after (peri)menopause.
With the CDC, FDA, and states providing different guidance on COVID-19 vaccines, UCSF physicians weigh in about who should get the shot, when, and what insurance covers.
Advanced colon cancer is the leading cause of cancer-related death in young American men and the second highest worldwide. In the majority of these patients, as the cancer advances it metastasizes to
Generalized anxiety disorder affects 1 in 20 U.S. adults. Those with serious symptoms may isolate themselves to the point that they rarely leave their home.
UCSF Benioff Children’s Hospitals tied again as the best in Northern California for pediatric care in the 2025-2026 U.S. News & World Report Best Children’s Hospitals list.
UCSF neurologist Dr. Shirvalkar studies nerve-to-brain connections to find new ways to treat chronic back pain.
Ahead of the 2025 Nobel Prize announcements, we take a look back at UCSF's Nobel laureates, their discoveries, and the UCSF research building on their work today.
For most people, IT is the place they call when their computer or Wi-Fi stops working. But, there’s more to it than meets the eye.
Vikram Rao, director of the UCSF Epilepsy Center, discusses why a third of seizure patients don’t respond to medication and the promising new surgical and technological treatments available.
Researchers found smoking marijuana was associated with significantly increased risk of asthma, including among people who have never used tobacco cigarettes, and may also be associated with chronic lung disease.
UCSF scientists discovered that an overlooked cell type in the brain plays a central role in healing traumatic brain injury. Understanding how it does this will lead to treatments for injuries that currently have only minimal interventions.
UCSF Health transplant specialists recently performed an innovative, minimally invasive pancreatic islet transplant designed to enable a patient with Type 1 diabetes to become insulin independent.
A TED Talk-style presentation on the effects of tangled DNA strands took first place at this year's Postdoc Slam competition, which is held in celebration of National Postdoc Appreciation Week.
Thanks to funding from the National Institutes of Health (NIH), UC San Francisco researchers are revolutionizing what we thought we knew about how cancer spreads, opening new paths to cures.
A study led by UCSF and UC Davis concluded that radiation from medical imaging is associated with a higher risk of blood cancers in children.
UCSF Health has been recognized as a top performer in the 2025 Bernard A. Birnbaum, MD, Quality Leadership Ranking by Vizient, Inc., one of the nation’s largest provider-driven health care performance improvement companies. UCSF Health has received this honor for four consecutive years.
A new study from UCSF is the first to show a statistically significant increased risk of death in children with acute lymphoblastic leukemia exposed to any pesticide during or after pregnancy.
A study using CRISPR restored brain connectivity and made the brain more resilient to seizures, which are often seen in a form of severe autism.
The UCSF Helen Diller Family Comprehensive Cancer Center announced today the awarding of a Specialized Programs of Research Excellence (SPORE) grant by the National Cancer Institute (NCI) for a
UCSF is partnering with physicians across the country to develop a pediatric cancer environmental referral service. The service will include children’s environmental health histories and risk assessments, and provide a toolkit to families.
Urothelial carcinoma (UC) is the second most common genitourinary cancer, leading to over 16,000 deaths a year in the U.S. Despite recent advances, the five-year survival rate for metastatic UC